 
             
        インプラントIMPLANT
インプラントとは
例えば1本歯がなくなってしまったら、歯列にそこだけポッカリ隙間ができてしまいます。そんなとき、以前のように歯が元通りになったらどうでしょうか? それを可能にするのがインプラントです。
歯を1本失うと、通常その前後の歯を削ってブリッジ(橋渡し)をします。ブリッジをするためには前後の歯を削ることなしに欠損部分をほぼ単独で補えます。 また、多数歯欠損の場合、入れ歯の安定と維持の補助として使う場合もあります。
 
                         
                     
                     
                インプラントの治療法
歯を失った部分に人工の歯の根を埋めて土台とし、その上に人工の歯をかぶせます。 また、治療の際は局所麻酔を行いますので痛みは感じません。
 
                    インプラントの魅力
インプラントの魅力は、一言でいうと天然の歯とほとんど変わらない見栄えと噛み心地です。
                    また、取り外しの義歯(入れ歯)のような異物感や動揺などがほとんどありません。
インプラントの適応
歯の欠損の状態(失われた歯の本数および部位)や顎の骨の状態(骨の厚さや量、密度、神経や上顎洞との関係など)により、
                    インプラントに適応できないこともあります。
                    また、インプラントを入れた顎のお手入れの仕方によっては、長所をどれだけ活かせるか、変わってきます。詳細は担当の歯科医師にご相談ください。
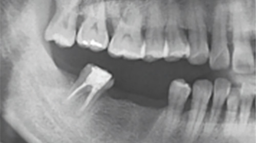
各治療例
サージカルガイド
1段階
 
                        CTを利用し3D診断を行います。
CT撮影した3Dデータを通し骨、歯肉、神経を総合的に考慮し精密な診断が可能です。
2段階
 
                        専用のソフトウェアで手術計画を立てます。
                            デジタルシュミレーションを通し最適なインプラント手術位置を設定し、そのまま手術ができるよう患者様に合ったOneGuideを製作します。
3段階
 
                        OneGuideを装着し手術します。
完成したOneGuideを手術前に口腔内に装着し、計画どおりの位置で安全かつ正確に手術します。
施術前
 
                        施術後
 
                        CASキット(上顎空洞挙上術)
イメージ1
 
                        デジタルシュミレーションで計画した位置に正確かつ安全なサイナスサージェリーを実現
・CTデータおよび口腔データでサイナスの理想的な位置へのインプラント埋入を計画
・サイナスに専用のサージカルテンプレート「ワンガイド」を製作
イメージ2
 
                        Conical bone lid形状のユニークなOneCASドリルによりメンブレンの穿孔現象を防止
・逆円錐型と曲線処理が施されたOneCASドリルデザインにより、上顎洞粘膜を安全に素早く拳上
 
            虫歯や歯周病、突然の事故など、人はさまざまな原因で歯を失います。
                    歯を失うことで、食べ物が良く噛めない、正しく発言できないなど、からだの問題だけでなく、食事を楽しめない、人前で自然な笑顔が作れないなど、心の問題と深くかかわっています。
                
インプラントは、そんなお悩みを解決できます。歯を失ってお悩みの方は是非一度ご相談ください。
価格
420,000円~(税別)
※サージカルガイド費用を含む
60,000円~(税別)
挙上術
60,000円~(税別)
※治療内容により、料金が異なります。
                    インプラントは患者様とご相談の上治療を行いますので、ご希望の方は一度ご相談ください。
セルフチェック
以下の項目で該当すると思われるものをチェックしてください。
5つ以上のチェックがある方は、インプラント治療をおすすめしております。
                    是非一度ご相談ください。
よくある質問
誰にでも治療は受けられますか?
年齢的に顎の骨が完成する20歳前後から、健康な方であれば基本的に誰でも治療を受けられます。
                            ただし、全身疾患、妊娠中の方などはインプラント治療を受けられない場合がありますので、一度ご相談ください。
手術の際に入院が必要ですか?
基本的には入院の必要はありません。
                            ただし、特殊な症例の場合や、全身疾患を有する患者さんの場合には入院して手術を行うこともあります。
治療期間はどのくらいかかるのですか?
インプラントを挿入した部位や個人によって差がありますが、4ヶ月から7ヶ月程度の治療期間が必要となります。
インプラントはどのくらいもちますか?
患者さんのお口の中の衛生管理に大きく関係してきますので、お口の衛生管理が悪いと寿命が短くなる場合もあります。
                            常に衛生状態を良好に保ち、担当医師や衛生士の指導に従っていただくことが大切です。




